whatspp
WELCOME TO DERMADENT SKIN,  HAIR AND DENTAL CLINIC, HYDERABAD.

Book An Appointment




Transform Your Smile with Dental Veneers Treatment in Pragathi Nagar


Best Treatment for Dental Veneers in Hyderabad

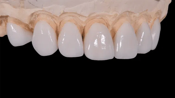
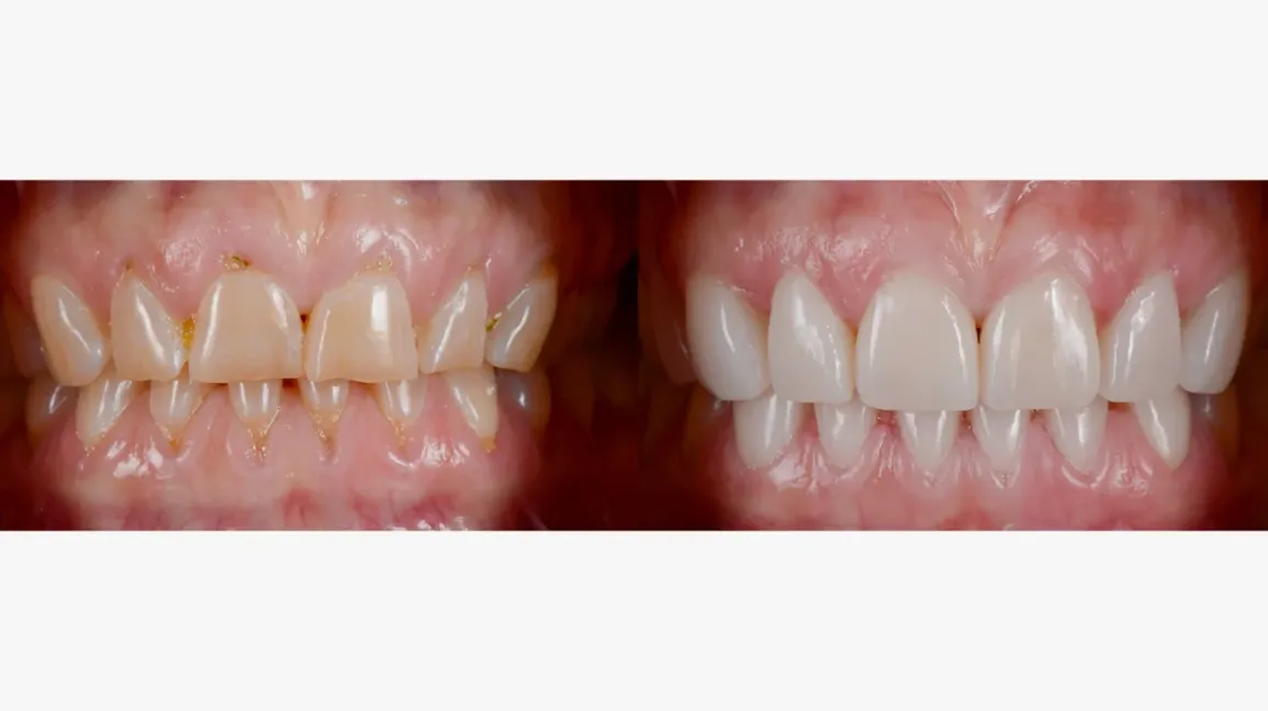
Dental veneers are thin, custom-made shells crafted from tooth-colored materials like porcelain or composite resin. These shells are bonded to the front surface of your teeth to improve their appearance. Veneers can effectively address various dental imperfections, including discoloration, chipped or broken teeth, misalignment, and gaps between teeth.

veeners
veeners

Veeners Treatment In PranathiNagar

Why Choose Dental Veneers?

• Natural Appearance: Veneers mimic the natural look of teeth, providing a seamless and attractive smile.

• Durability: With proper care, dental veneers can last for many years, making them a long-term investment in your dental health and appearance.

• Minimal Prep: Unlike some other dental treatments, veneers typically require minimal preparation of the natural teeth, preserving their structure.

• Customization: Each veneer is custom-made to fit your unique dental anatomy, ensuring a personalized and natural-looking result.

veeners
veeners

Dental Veneers Treatment Process:

1. Consultation: During your initial consultation, our experienced dentist will evaluate your oral health, discuss your goals, and determine if dental veneers are the right option for you.

2. Preparation: In some cases, a small amount of enamel may need to be removed from the front surface of your teeth to accommodate the veneers.

3. Impressions: We will take impressions of your teeth to create custom veneers that perfectly match the shape, size, and color of your natural teeth.

4. Fabrication: Your veneers will be meticulously crafted in a dental laboratory using high-quality materials.

5. Bonding: Once your veneers are ready, they will be securely bonded to the front of your teeth using a strong dental adhesive.

6. Final Adjustments: Our dentist will make any necessary adjustments to ensure that your veneers fit comfortably and look natural.

7. Maintenance: With proper oral hygiene and regular dental check-ups, your dental veneers can provide you with a beautiful smile for years to come.

Why Choose Us for Dental Veneers in Pragathi Nagar?

• Experienced Dentists: Our team of skilled dentists has extensive experience in cosmetic dentistry, including dental veneers.

• State-of-the-Art Facility: We utilize advanced technology and techniques to deliver exceptional results in a comfortable and welcoming environment.

• Personalized Care: We understand that every patient is unique, which is why we tailor our treatment plans to meet your specific needs and goals.

• Affordable Pricing: We believe that everyone deserves access to high-quality dental care, which is why we offer competitive pricing and flexible payment options

Dental Veneers Treatment in Pragathi Nagar

What Sets Our Dental Veneers Apart? At our clinic, we take pride in offering the highest quality dental veneers treatment available in Pragathi Nagar. Here's what sets us apart:

1. Exceptional Quality: We use only the finest materials and the latest techniques to craft dental veneers that are durable, natural-looking, and tailored to your unique smile.

2. Experienced Professionals: Our team of skilled dentists has extensive experience in cosmetic dentistry, including the precise placement of dental veneers. You can trust us to deliver exceptional results that exceed your expectations.

3. Personalized Care: We understand that every smile is unique, which is why we take the time to listen to your concerns and goals before developing a customized treatment plan that meets your needs.

4. State-of-the-Art Facility: Our clinic is equipped with state-of-the-art technology and amenities to ensure your comfort and safety throughout the treatment process.

5. Affordable Pricing: We believe that everyone deserves access to high-quality dental care, which is why we offer competitive pricing and flexible payment options to fit your budget.

Dental Veneers in Hyderabad

Dental veneers are a popular cosmetic dentistry solution offered by experienced dentists in Pragathi Nagar, renowned for their expertise in enhancing smiles. Patients seeking the best hospital for dental veneers in Pragathi Nagar can rely on these skilled professionals to provide personalized treatment plans tailored to their needs.

Porcelain Veneers

Dermadent Clinic offers porcelain veneers as a highly effective solution to enhance your smile's aesthetics. These tailor-made restorations are meticulously designed to suit your individual dental structure. Prior to veneer placement, our dentists gently reduce a small portion of enamel from your natural teeth. This preparation ensures a textured surface, enabling the veneers to securely adhere in place.

Porcelain veneers are a cosmetic dental solution used to improve the appearance of teeth affected by various imperfections. These custom-made shells are crafted from durable porcelain material and are designed to cover the front surface of teeth to enhance their shape, size, color, or alignment.

img

No-prep Veneers

Dermadent Clinic provides no-prep or minimal-prep veneers as a less invasive alternative to traditional porcelain veneers. Like traditional veneers, these customized restorations are tailored to enhance your smile. However, they involve minimal enamel removal compared to conventional methods. It's important to note that while no-prep veneers are less invasive, some enamel preparation is still required.

While suitable for many, not everyone may be a candidate for this treatment. Consultation with your dentist is crucial to assess your dental condition and determine the best veneer option based on your specific needs and goals.

Testimonals