whatspp
WELCOME TO DERMADENT SKIN,  HAIR AND DENTAL CLINIC, HYDERABAD.

Full Mouth Rehabilitation: Transforming Smiles in Hyderabad

Full mouth rehabilitation, also known as full mouth reconstruction or restoration, is a comprehensive dental treatment that addresses and corrects multiple dental issues. This process involves rebuilding or replacing all the teeth in a patient’s mouth, ensuring both functional and aesthetic improvements. For those seeking full mouth rehabilitation in, finding the best Dental Hospital in Pragathi Nagar, Hyderabad, is crucial.

What is Full Mouth Rehabilitation?

Full mouth rehabilitation combines various dental procedures to restore the health, function, and appearance of your teeth and gums. This treatment is often necessary for patients with extensive dental issues, such as severe tooth decay, gum disease, tooth loss, or traumatic injuries. The goal is to create a healthy, functional, and visually appealing set of teeth.

Why Choose Full Mouth Rehabilitation?

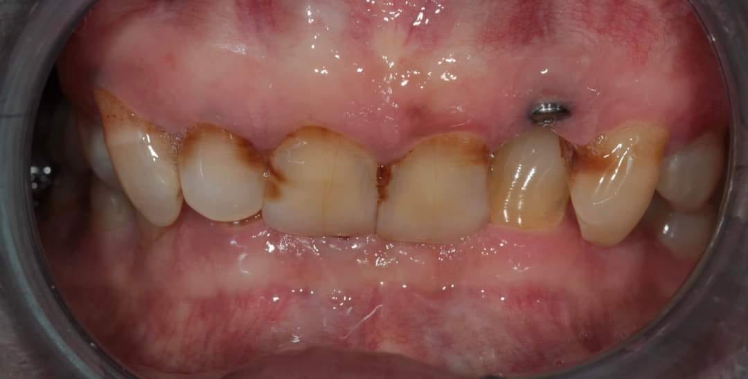
Before
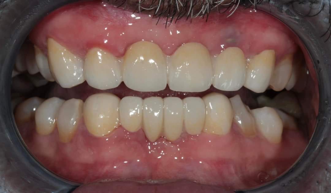
after

Comprehensive Treatment:

Full mouth rehabilitation addresses multiple dental problems simultaneously, providing a holistic approach to oral health.

Customized Plan:

Each rehabilitation plan is tailored to the patient’s specific needs, ensuring optimal results.

Improved Oral Health:

By addressing all dental issues, full mouth rehabilitation enhances overall oral health, reducing the risk of future dental problems.

Enhanced Aesthetics:

This treatment not only restores function but also significantly improves the appearance of your smile.

Process of Full Mouth Rehabilitation

The process typically involves several stages, including:

Consultation and Examination:

A thorough examination by a Dental Specialist in Pragathi Nagar is the first step. This includes dental X-rays, impressions, and photographs to assess the condition of your teeth, gums, and jaw.

Treatment Planning:

Based on the examination, a detailed treatment plan is developed. This may include procedures such as dental implants, crowns, bridges, veneers, orthodontics, and periodontal treatments.

Restorative Procedures:

The actual rehabilitation process involves performing the planned treatments. This can be done in multiple visits, depending on the complexity of the case.

Follow-up and Maintenance:

Regular follow-up visits are essential to monitor progress and ensure the long-term success of the rehabilitation.

Best Dental Hospital in Kukatpally Hyderabad

Choosing the best dental hospital is critical for the success of your full mouth rehabilitation. The Top Dental Hospitals in Kukatpally, Hyderabad, are equipped with advanced technology and staffed by experienced dental specialists who can provide high-quality care.

Dental Rehabilitation Cost in Pragathi Nagar, Hyderabad

The cost of dental rehabilitation varies based on the extent of treatment required. Factors influencing the cost include:

Number of Procedures:

The more procedures involved, the higher the cost.

Type of Procedures:

Different procedures have varying costs. For instance, dental implants may cost more than crowns or bridges.

Materials Used:

High-quality materials, such as porcelain or zirconia, can increase the cost.

Dental Specialist Fees:

The experience and expertise of the dental specialist can also impact the overall cost.

On average, the Dental Rehabilitation Cost in Pragathi Nagar, Hyderabad, can range from moderate to high, depending on the complexity of the case.

Book An Appointment

Conclusion


Full mouth rehabilitation is a transformative treatment that can significantly enhance your oral health and the appearance of your smile. For those seeking Full Mouth rehabilitation in Hyderabad, finding the best dental hospital and consulting with a skilled dental specialist is essential. Understanding the dental rehabilitation cost will help you make an informed decision. With the right care and expertise, you can achieve a healthy, beautiful smile that lasts a lifetime.

Frequently Asked Questions

Q.1. What is full mouth rehabilitation?

Full mouth rehabilitation is a comprehensive dental treatment that restores the function, health, and appearance of all the teeth in a patient’s mouth.

Q.2. Who needs full mouth rehabilitation?

It is ideal for patients with extensive dental issues such as severe decay, gum disease, tooth loss, or traumatic injuries.

Q.3. What procedures are involved in full mouth rehabilitation?

It may include dental implants, crowns, bridges, veneers, orthodontics, and periodontal treatments

Q.4. What are the benefits of full mouth rehabilitation?

Benefits include improved oral health, enhanced aesthetics, restored function, and a customized treatment plan.

Q.5. What is the follow-up care after full mouth rehabilitation?

Regular dental check-ups and good oral hygiene practices are essential for maintaining the results of the rehabilitation.

Before And After Full MouthRehabilitation Treatment
treatment
treatment

Testimonals