What is Fixed Teeth in 3Days
"Fixed teeth in 3 days" refers to a dental implant procedure commonly known as "Teeth in a Day" or "Same-Day Implants." This innovative technique allows patients to receive a fixed set of teeth supported by dental implants within a very short period, often within a single day.
Benefits of Fixed Teeth in 3 Days Implants:
Immediate Functionality:
While immediate functionality provides numerous benefits, it's crucial to note that individual suitability for this procedure varies. A thorough assessment by a qualified dental professional is essential to determine if a patient is an appropriate candidate for immediate loading of dental implants.
Reduced Treatment Time:
Reduced treatment time is a significant benefit associated with dental implant procedures that offer "Fixed Teeth in 3 Days" or "Teeth in a Day."
Enhanced Aesthetics:
"Enhanced aesthetics" is a crucial aspect and a significant benefit associated with dental implant procedures that provide "Fixed Teeth in 3 Days" or "Teeth in a Day."
Convenience:
The ability to provide fixed teeth in a short timeframe adds convenience for individuals seeking rapid tooth replacement.
What is the success rate of fixed teeth in 3 days?
The success rate of fixed teeth in 3 days, also known as immediate load dental implants or same-day teeth, can vary depending on several factors. These factors include the patient's overall health, oral hygiene, bone quality, the skill of the dental professional, and adherence to postoperative care.It's essential to discuss the specific success rates with your dental professional, as they may have access to the most recent research and data. Additionally, advancements in dental implant technology and techniques may impact success rates over time.
Frequently Asked Questions
Q.1. What is the "Fixed Teeth in 3 Days" procedure, and how does Dermadent Clinics specialize in it?
Dermadent Clinics are known for their expertise in providing rapid and efficient fixed teeth solutions within a short timeframe.
Q.2. Is the procedure painful?
Local anesthesia is typically used during the procedure to minimize discomfort. Postoperative pain can be managed with prescribed medications.
Q.3. Are there any limitations or risks associated with the procedure?
Some limitations and risks may be associated with individual cases, such as infection, implant failure, or complications related to the healing process. A comprehensive discussion with the dentist can address specific concerns
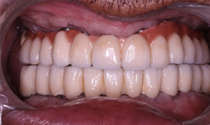
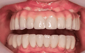
Before & After Picture Gallery
Full Mouth Fixed Teeth In 3 Days


Fixed Teeth in 3 Days with Implants

