whatspp
WELCOME TO DERMADENT SKIN,  HAIR AND DENTAL CLINIC, HYDERABAD.
Bridges And Crowns

Book An Appointment


What is Bridges And Crowns?

Bridges and crowns are dental prosthetic devices used to restore or replace missing or damaged teeth. They are both fixed dental restorations, meaning they are cemented onto existing teeth or implants and cannot be removed by the patient.

What are the types of Crowns?

⦿ Metal crowns:Metal crowns are dental crowns made entirely of metal or a combination of metals. There are different types of metal crowns, each with its own unique properties. br>
⦿ Porcelain-Fused-to-Metal (PFM) Crowns:These crowns combine a metal substructure with a layer of tooth-colored porcelain. They offer a balance between strength and aesthetics.
⦿ All-Ceramic or All-Porcelain Crowns: All-ceramic crowns are often used for front teeth due to their excellent aesthetic qualities. They may not be as durable as metal-based crowns, but advancements in materials have improved their strength.

How long do dental crowns last?

Dental crowns last longer when they are maintened well .

What are the Benifits of dental Bridges?

Dental bridges restore the ability to chew and speak properly, which may be compromised due to missing teeth.

FREQUENTLY ASKED QUESTIONS

Are dental bridges removable?

Traditional dental bridges are not removable by the patient. However, there are implant-supported bridges that attach to dental implants and can be removed for cleaning by a dentist.

Is the process of getting a dental bridge painful?

The process dental brige is painless .

How is a dental crown placed?

The dentist will prepare the tooth by removing a portion of its outer structure, take impressions, and then place a temporary crown

What are dental crowns made of?

Crowns can be made from various materials, including porcelain, ceramic, metal alloys (like gold), porcelain fused to metal, or composite resin. The choice of material depends on the tooth's location, aesthetic needs, and bite forces.

How long does a dental crown last?

With good oral hygiene and regular dental check-ups, dental crowns can last for many years, often between 5 to 15 years or even longer.

Does getting a dental crown hurt?

The procedure to prepare your tooth for a crown is usually done under local anesthesia, so you should not feel significant pain. Some mild sensitivity might occur afterward.

Bridges

bridges

Dental Bridges

bridges

Bridges:

Dental bridges are used to replace one or more missing teeth. They consist of artificial teeth (pontics) that are anchored to adjacent natural teeth or dental implants. The supporting teeth, called abutments, are typically crowned to provide stability and support for the bridge. Dental bridges help restore the functionality and appearance of the smile.

Crowns:

Dental crowns are tooth-shaped caps that are placed over a damaged or decayed tooth. They are used to restore the tooth's shape, size, strength, and appearance. Crowns can be made from various materials, including porcelain, ceramic, metal, or a combination of these materials. The choice of material depends on factors such as the location of the tooth, the extent of damage, and aesthetic considerations.

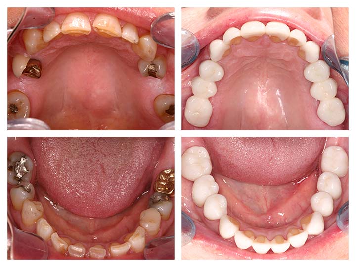
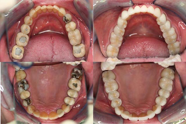
Before And After Bridges and Crowns Treatment

Testimonals