whatspp
WELCOME TO DERMADENT SKIN,  HAIR AND DENTAL CLINIC, HYDERABAD.

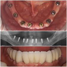
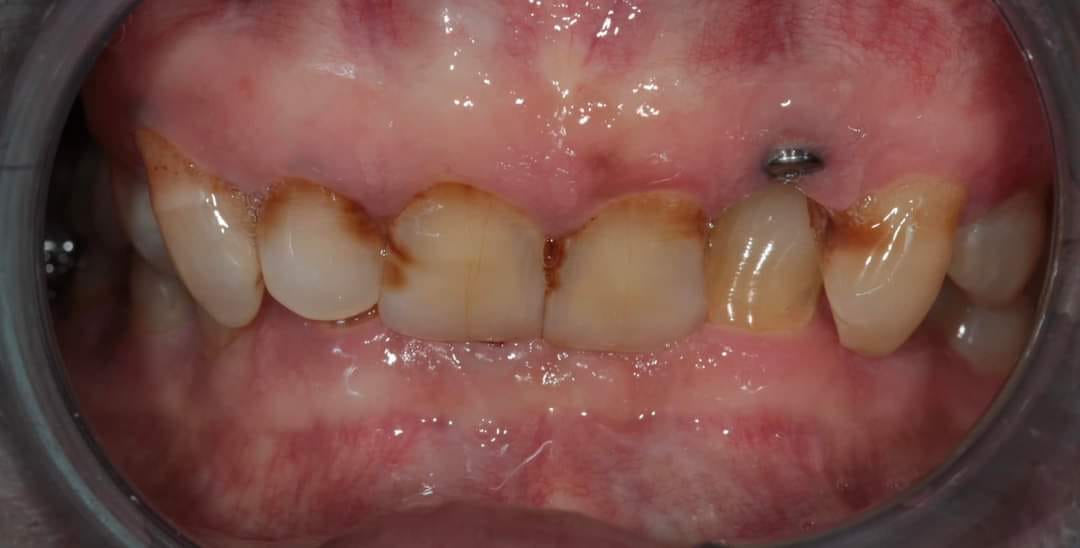
Full Mouth Rehabilitation with Implants

Transform your smile with Full-Mouth Rehabilitation using dental implants at the best dental hospital in Pragathi Nagar, Kukatpally, Hyderabad!


Our expert team at DermaDent Clinic offers cutting-edge implant technology to restore your dental health and aesthetics. Full-mouth rehabilitation involves replacing all teeth using implants, which provide a stable, durable, and natural-looking solution for missing or damaged teeth.

Treatment Process

Consultation: A thorough examination and personalized treatment plan.

Implant Placement: Surgical insertion of titanium implants into the jawbone.

Healing Period: Time for the implants to integrate with the bone.

Prosthetic Attachment: Custom-made crowns, bridges, or dentures are attached to the implants.

Importance of the Treatment

Enhanced Functionality: Improves chewing and speaking abilities, allowing you to enjoy your favorite foods and converse confidently.

Aesthetic Appeal: Restores a natural, beautiful smile, boosting your self-esteem

Durability: Offers a long-lasting solution, often lasting a lifetime with proper care.

Bone Preservation: Prevents bone loss in the jaw, maintaining facial structure and preventing premature aging.

Improved Oral Health: Reduces the risk of dental issues associated with missing teeth, such as shifting teeth and bite problems.

Experience the transformative benefits of Full Mouth Rehabilitation with Implants at the best dental hospital in Pragathi Nagar, Kukatpally, Hyderabad.

Objectives of Full Mouth Rehabilitation with Implants

Restore Full Oral Functionality:

Chewing Efficiency: Improve the ability to chew and digest food properly.

Speech Improvement: Enhance speech clarity and pronunciation.

Aesthetic Enhancement:

Natural Appearance: Achieve a natural, beautiful smile.

Facial Structure: Maintain and enhance facial structure and appearance.

Durability and Stability:

Long-lasting Solution: Provide a permanent solution that can last a lifetime with proper care.

Stability: Offer a stable foundation for prosthetic teeth, eliminating issues like slipping or movement.

Oral Health Improvement:

Bone Preservation: Prevent bone loss in the jaw, maintaining facial structure.

Prevent Dental Issues: Reduce the risk of issues associated with missing teeth, such as shifting teeth, bite problems, and gum disease.

Comfort and Convenience:

Comfortable Fit: Ensure a comfortable fit of prosthetic teeth.

Easy Maintenance: Provide a solution that is easy to maintain and care for.

Boost in Confidence:

Self-Esteem: Enhance self-confidence with a beautiful, functional smile.

Quality of Life: Improve overall quality of life by addressing both functional and aesthetic dental concerns.

Experience the comprehensive benefits of Full Mouth Rehabilitation with Implants at the best dental hospital in Pragathi Nagar, Kukatpally, Hyderabad. At DermaDent Clinic, we are committed to helping you achieve a healthy, beautiful smile.

Full Mouth Rehabilitation with Implants not only restores your ability to chew, speak, and smile confidently but also helps maintain long-term oral health. At DermaDent Clinic , we are dedicated to helping you achieve the smile you deserve, offering you comfort, stability, and a significant boost in your quality of life.

Contact us today to schedule a consultation and take the first step toward your new smile!

Book An Appointment

Before And After Full Mouth Rehabilitation Treatment

treatment

Before

treatment

After

treatment

Testimonals