whatspp
WELCOME TO DERMADENT SKIN,  HAIR AND DENTAL CLINIC, HYDERABAD.

What is Cosmetic Dentistry

Cosmetic dentistry is a branch of dentistry that focuses on improving the aesthetic appearance of a person's teeth, gums, and smile. Unlike traditional dentistry, which primarily addresses oral health issues, cosmetic dentistry aims to enhance the visual appeal of the teeth and overall facial appearance.

  • Cosmetic dentistry can significantly impact a person's confidence and self-esteem by addressing cosmetic concerns and creating a more attractive smile.
  • Keep in mind that the success of cosmetic dentistry relies on a balance between aesthetics and maintaining optimal oral health.
  • Cosmetic dentistry is a branch of dentistry that focuses on enhancing the aesthetic appearance of the teeth, gums, and smile.

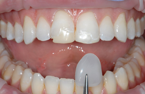
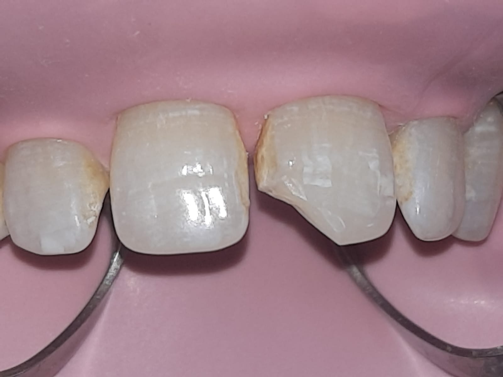
What are common cosmetic dentistry procedures?

It's important to note that the suitability of these procedures varies based on individual needs, and a qualified cosmetic dentist can assess and recommend the most appropriate options for each patient. Additionally, maintaining good oral health through regular dental check-ups is crucial for the success and longevity of cosmetic dentistry procedures.

Benifits Of Cosmetic Dentistry

Improved Aesthetics:

The primary goal of cosmetic dentistry is to enhance the appearance of the teeth and smile.

Enhanced Self-Confidence:

Aesthetic improvements to the smile often lead to increased self-esteem and confidence.

Are cosmetic dentistry procedures permanent?

It's important to note that the success and durability of cosmetic dentistry procedures often depend on factors such as oral hygiene, regular dental check-ups, lifestyle choices, and the specific materials used in the procedureAdditionally, natural aging and changes in oral health can influence the appearance of cosmetic dental work over time. Consulting with a qualified cosmetic dentist is essential to understand the expected lifespan of a specific procedure and receive personalized advice on maintenance and care.

Frequently Asked Questions

Q.1. Are cosmetic dentistry procedures painful?

Most cosmetic procedures are minimally invasive and involve little to no pain. Local anesthesia is often used to ensure patient comfort during more extensive procedures.

Q.2. How much does cosmetic dentistry cost?

The cost varies depending on the procedure, geographic location, and the dentist's expertise. It's recommended to obtain a personalized cost estimate during a consultation.

Q.3. Are there risks associated with cosmetic dentistry?

Most cosmetic procedures are safe when performed by a qualified dentist. However, like any medical procedure, there can be risks and potential side effects. A thorough consultation with the dentist is essential to understand potential risks.

Book An Appointment

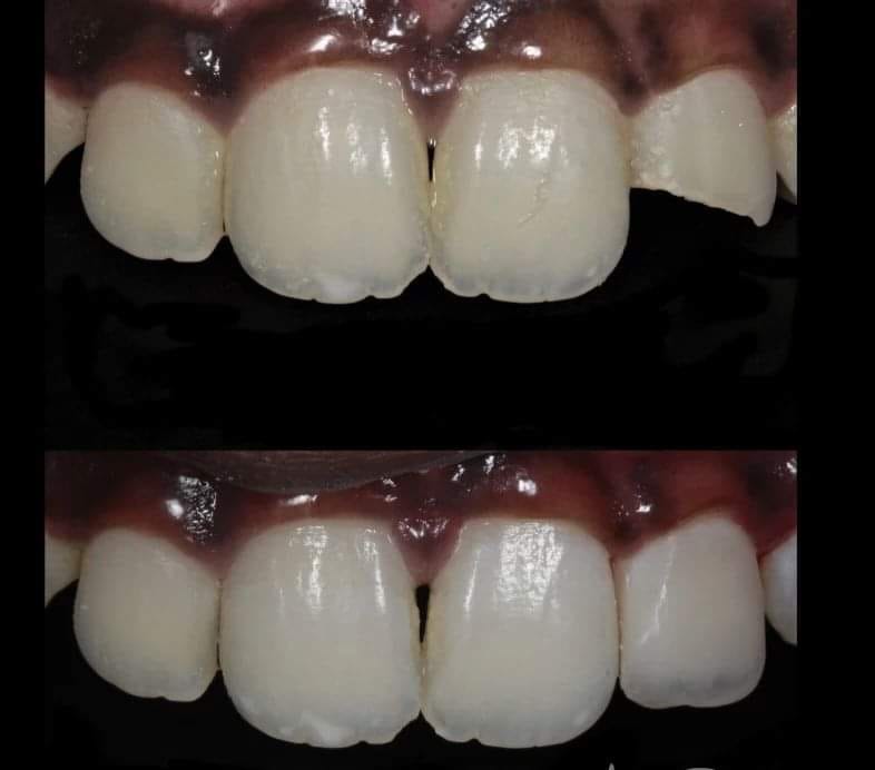
Before And After Cosmetic Dentistry Treatment

Before And After Cosmetic Dentistry Treatment
treatment
treatment
treatment

Testimonals